
대상포진은 수두-대상포진 바이러스가 몸속에 잠복해 있다가 다시 활성화되면서 나타나는 질병이다. 피부에 발진과 통증을 수반하고 주로 면역력이 떨어지는 60세 이상의 성인에게 발병한다. AIDS환자 또는 장기이식이나 항암치료를 받아 면역력이 떨어진 환자에게서 많이 발병한다. 보통은 신체 부위 일부분에 피부 발진으로 나타나지만 면역력이 크게 떨어진 환자의 경우 온몸에 발진이 퍼져 심하면 사망에 이르기도 한다.
원인
근본적인 원인은 면역력 저하다. 소아기에 수두-대상포진 바이러스에 감염되면 수두를 앓고 나서 바이러스는 완전히 사라지지 않는다. 남아 있는 바이러스는 신경절에 휴면상태로 잠복해 있다. 신체가 건강하여 면역력이 좋을 때는 발현하지 않다가 면역력이 약해지면 바이러스가 활성화하여 피부나 신경에 염증을 일으키는 것이다. 신체가 노화하면서 자연스레 면역력이 저하되는 50대 이상 중장년층의 발병률이 전체의 약 60%를 차지할정도로 높다. 그러나 최근에는 중장년층 뿐만 아니라 20~30대 젊은 사람들, 심지어 어린이, 청소년들에게도 자주 발병한다. 무리한 업무와 그로 인한 스트레스, 과로, 수면 부족, 과도한 운동이나 다이어트, 불규칙한 생활로 인해 젊은 사람들에게도 면역력 저하가 심각하기 때문이다.
증상 및 치료
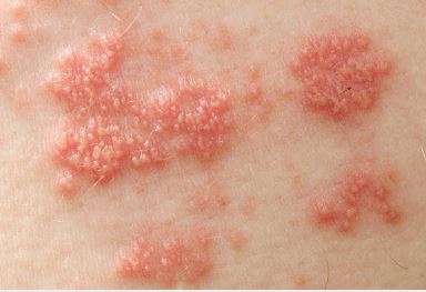
일반적으로 통증 후 며칠 뒤에 피부에 붉은 발진이 무리를 지어 띠 모양으로 나타난다. 가렵거나 따갑기도 하며 피로와 두통, 발열과 오한이 동반되기도 한다. 피부 증세 발견 즉시 치료해야 합병증 없이 나을 수 있으며 늦어도 수포 발생 후 72시간 이내에 병원을 방문해 대상포진 바이러스 억제약물이나 주사로 치료해야 한다. 늦으면 대상 포진으로 인한 합병증이 생기기 쉽기 때문이다. 통증이 심한 경우에는 진통제를 투여하기도 한다. 그러나 몇몇 사람에게는 초기에 피부 발진이 생기지 않기도 한다. 수포나 발진이 뒤늦게 나타나는 무발진성 대상포진은 초기에 통증을 다른 신경질환으로 오인하여 적절한 치료 시기를 놓치기 쉽다. 대상포진은 적절한 치료 후에도 신경통이 남아 있을 수 있다. 바이러스가 신경을 타고 다니다 생긴 염증으로 인해 통증이 사라지지 않고 남아 있는 것으로 이러한 통증은 일반적으로 수개월 지속되지만 심한 경우에는 수년 동안 지속될 수 있다. 극심한 신경통이 지속되는 경우에는 신경차단술을 시행한다.
전염성
대상포진의 전염력은 매우 약하다. 비말이나 공기 중의 전염도 간혹 발생하지만 대부분의 경우 대상포진 환자의 수포에 있는 진물을 직접 접촉할 때 전염된다. 수포 안에는 활성화된 바이러스가 존재한다. 물집이 터지고 활성화 바이러스가 있는 진물을 접촉하면 전염이 되는 것이다. 단, 물집이 없는 초기와 수포가 딱지로 변한 상태에서는 바이러스 전파 가능성이 거의 없다. 또한 이전에 한 번이라도 수두를 앓은 사람에게는 전염이 되지 않는다. 수두에 걸린 적이 없는 사람에게만 바이러스가 전파되는데 감염된 사람은 수두에 걸리게 된다. 공기 중으로 바이러스가 전파되는 것은 매우 드물지만 신생아나 면역력이 떨어지는 사람은 가능한 대상포진 환자를 피하는 것이 좋다.
합병증
젊은층보다 노년층에 합병증 발병률이 높다. 가장 흔한 합병증은 신경통이다. 바이러스로 인해 신경이 손상되고 파괴되어 아파야 할 이유가 없는데도 신경이 오작동하여 거짓신호를 보내는 것이다. 콕콕 찌르는 듯한 느낌, 칼로 살을 베는 듯한 느낌, 불에 타는 느낌 등 통증이 매우 고통스럽고 이런 통증이 수 주에서 수 년동안 지속되기도 한다. 눈 주변에 대상포진이 생기는 경우에는 홍채염, 망막염이나 각막염을 일으켜 실명할 수 있다. 바이러스가 뇌수막에 침투하면 뇌수막염, 뇌혈관에 침투하면 뇌졸중, 심근경색 같은 중증뇌혈관질환을 일으킬 수 있다.
예방법
가장 좋은 방법은 예방접종이다. 백신을 맞으면 대상포진 발병은 약 50%, 대상포진 후 신경통 발생률은 약 65% 예방할 수 있다. 물론 백신을 맞아도 대상포진에 걸릴 수 있지만 접종하지 않았을때보다 훨씬 가볍게 앓고 지나가고, 신경통의 강도도 훨씬 작다고 한다. 그래서 60세 이상의 연령군은 백신 접종을 하는 것이 적극 권장된다. 20~40대 젊은 층에서는 비교적 가볍게 앓고 신경통 발병률이 낮아 백신 접종을 권장하지 않는다. 다만 면역력 저하가 근본 원인인 만큼 충분한 수면, 적당한 업무강도 유지, 적절한 운동, 건강식 섭취를 통해 면역력을 증진시킬 수 있는 생활을 하는 것이 중요하다.
댓글